大连美琳达妇儿医院—让生命更美妙【官方网站】_孩子换牙早会致性早熟?这些宝宝换牙问题,现在知道还来得及!_大连美琳达妇儿医院—让生命更美妙【官方网站】
孩子换牙早会致性早熟?这些宝宝换牙问题,现在知道还来得及!
          大连美琳达妇儿医院 今天


 前段时间小美在后台收到了很多留言

 很多家长都是来询问娃换牙的问题

小美汇总了家长留言最多的几个问题

邀请了美琳达联合口腔主任梁筱璐来详细解答下


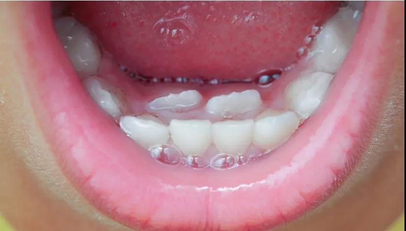
乳牙松动还没掉,新牙就长出来了怎么办?

A:首先家长需要认清的是,出现这种情况,与钙质太多可没有太大关系哦!

不能放任这种“双排牙”存在不管,这样会导致恒牙牙列不齐或颌骨发育异常,影响孩子牙齿整洁和形象。


家长也不要自己帮娃拔掉!这样牙齿极容易引起感染!应尽快请医生检查并拔除滞留的乳牙。

新长出来的牙是歪的怎么办?

A:这种情况通常是在上颌中切牙刚萌出的时候,会出现两个中切牙长歪了。一般分两种情况:

①切牙没有萌出的时候,可以继续观察。因为侧切牙没有萌出的时候,侧切牙的牙胚可能会向中间挤中切牙的牙根,使前切牙撇向两边,形成“八”字。

换牙期可能出现暂时性错颌,家长不用过分担心,在侧切牙萌出的时候,会推着长歪了的前切牙回到正确的位置上。

②侧切牙已经萌出,恒前切牙仍然位置不正确,就需要进行正畸治疗。

如果家长发现宝宝出现后牙长歪的情况,一定要尽早到正规医院的口腔科进行检查,拍片来判断牙齿长歪的原因,然后听取医生建议,并结合具体情况进行正畸治疗。

乳牙松动了,要及时拔掉吗?

A:如果松动的乳牙已经对宝宝的饮食造成严重的影响了,可以带宝宝去看牙医,医生会根据脱落情况,选择性将牙齿拔下来。


对娃的日常生活没有太大影响的话,还是建议自行脱落呦!

乳牙脱落一直不长恒牙怎么办?

A:每个人恒牙萌出时间是不一样的,乳牙正常脱落后,一般在两三个月甚至更长的时间萌出恒牙。

当恒牙乳牙正常脱落后很长时间还不长时,可能会是以下3种原因:
 
 ①恒牙先天缺失
 
 ②多生牙,阻碍恒牙萌出
 
 ③乳牙在脱落之前根尖有疾病,影响恒牙的钙化和萌出
 
 家长如果碰到这种情况,还是带娃到正规医院的口腔科进行检查。
 
 乳牙一直不松动,可以帮助摇松吗?
 
 A:宝宝一般会在6岁左右开始乳恒牙交替,乳牙从松动开始到最后完全脱落,可能需要几个月的时间,如果孩子在并没有牙齿疾病的前提下,可能会因为乳牙牙根得不到压迫刺激,就会较长时间地留在牙床上。

家长们在平时,特别是换牙期间可以给宝宝多进食一些比较硬的食物:比如小饼干、甘蔗、蔬菜不要煮得太烂,苹果不要切小块了,可以让宝宝试着抱着啃等。

如果乳牙仍然一直不掉落,已经影响到恒牙的生长,这种情况是要到医院进行拔除的。

宝宝换牙早可能性早熟?
A:换牙的早晚,和孩子吸收的营养、个体差异、遗传因素等等都有关系,孩子提前换牙,并不代表孩子性早熟!

宝宝正常换牙时间是在6岁左右,最早在4岁,最晚大概在7岁,如果只是提前、或推迟一两年换牙,并不会给孩子健康带来影响。
如果在4岁前就开始脱落了,家长们要警惕!这通常是孩子口腔问题的一种征兆。孩子有可能是患有牙周疾病,代谢紊乱、内分泌失调等疾病,对娃日后的咬合能力也有一定的影响!

家长得尽早带孩子去医院做相关检查,及时接受进一步的治疗,来保护剩余的乳牙。
乳牙关系到一个孩子的未来
 
家长们可马虎不得

美琳达联合口腔主任梁筱璐提示

一定要保持口腔卫生

及早发现和纠正例如吮指、舔牙等不良习惯
 
乳牙期也要定期涂氟、窝沟封闭

并定期到正规医院进行口腔检查

想来做口腔检查的亲们